公司新聞
COMPANY NEWS
J Adv Res(IF 13.0)|丁苯酞靶點新突破:靶向VIM重塑微血管網絡促進神經修復
近日,中國醫學科學院北京協和醫學院藥用植物研究所孫桂波教授團隊研究成果《Butylphthalide Enhances Neurorestoration following Ischemic Stroke by Restructuring Microvasculature through?Vimentin Modulation》發表在《Journal of Advanced Research》雜志(影響因子13.0分),首次明確丁苯酞(NBP)通過靶向Vimentin(VIM)重塑微血管網絡,進而促進缺血性腦卒中后的神經修復,為NBP的臨床用藥提供了堅實的理論基礎。
波形蛋白(VIM)是一種廣泛表達于多種細胞類型的細胞骨架蛋白,在調控細胞骨架動力學、維持細胞遷移過程中的基質黏附等方面發揮重要作用,并參與血管生成與中樞神經系統再生等生理過程。缺血性腦卒中時,血管內皮細胞中的VIM對于腦微血管的形成與新生至關重要;其缺失會導致梗死區域擴大并阻礙神經功能恢復。同時,神經元中的VIM能夠維持突觸結構完整性,調控神經修復相關蛋白(如GAP43、BDNF)的表達,并影響神經元電信號傳導。此外,VIM作為Notch信號通路的關鍵調控因子,可通過被NBP靶向作用進而激活Notch通路,上調關鍵蛋白表達,從而促進血管新生與神經修復。
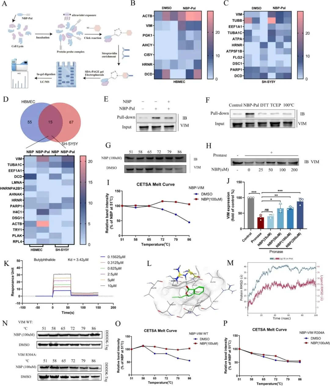
研究團隊利用大鼠的MCAO/R模型并使用免疫熒光、激光多普勒血流儀和光學相干斷層血管成像等技術進行監測,證實了NBP對神經血管網絡的保護作用。隨后,運用定量化學蛋白質組學方法,聯合PAL-CC-ABPP技術,確定NBP的分子靶點為VIM。通過競爭性抑制、共價結合實驗,以及CETSA、DARTS、SPR分析等技術手段,證實了NBP與靶蛋白的直接相互作用。分子對接和分子動力學模擬進一步表明,NBP可能通過與VIM活性口袋中的Arg 304結合發揮保護作用。研究發現,腦血管內皮中的VIM敲除會破壞腦微血管和神經元的正常發育;而在腦神經元中敲除VIM則主要影響神經電信號和大腦發育,而非血管生成,這凸顯了腦血管內皮中VIM對神經血管網絡的重要性。進一步研究證明,NBP通過靶向VIM調控Notch通路來重塑微血管網絡修復神經損傷,從而發揮治療缺血性腦卒中的作用。

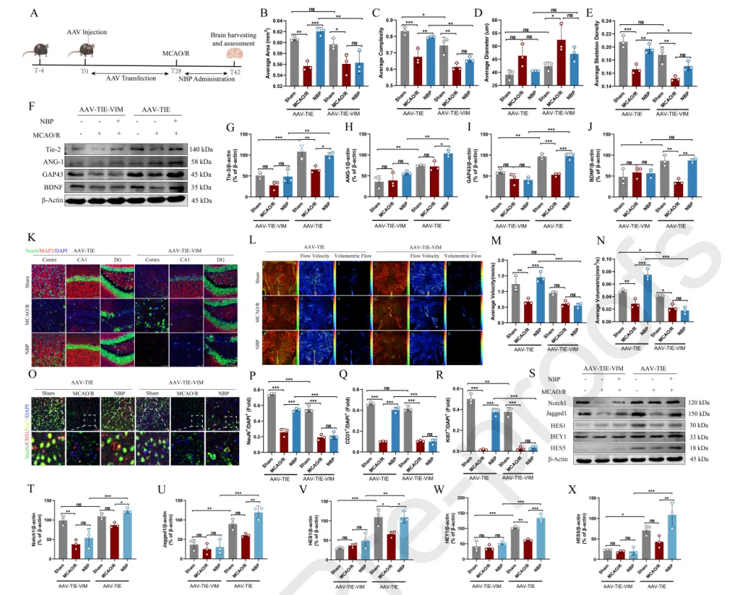
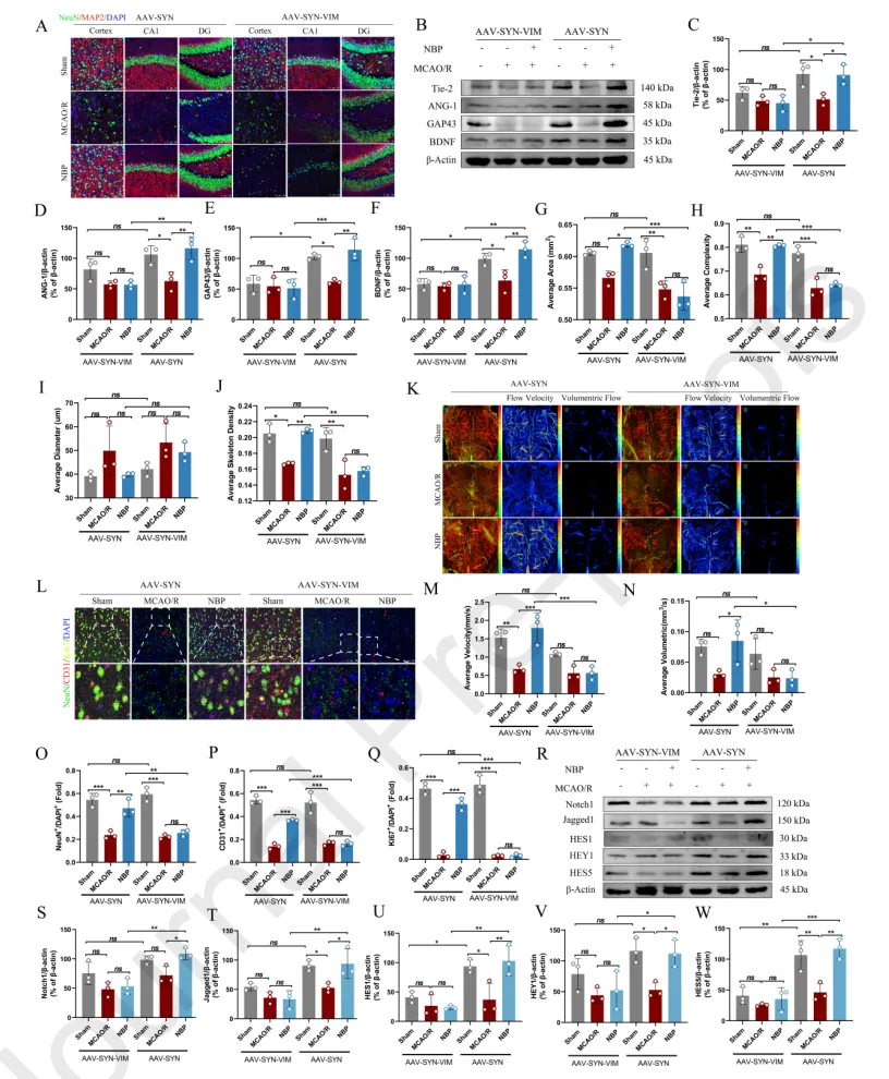
結果一:建立大鼠腦卒中模型給予NBP治療,結果顯示NBP促進卒中后腦血流和新生血管形成。

結果二:為了明確其作用機制,研究通過合成NBP光親和探針,在內皮細胞和神經元中成功“垂釣”出了靶蛋白VIM。隨后多個生化實驗表明NBP與VIM存在特異性且穩定的結合。
結果三:建立OGD/R誘導的細胞損傷模型,通過敲低技術探究VIM的功能,結果表明VIM敲低顯著抑制了NBP的保護作用,NBP需要依賴VIM來促進血管新生。

結果四:建立特異性敲低血管內皮細胞中的VIM小鼠模型,結果顯示敲低血管內皮細胞中的VIM阻礙了大腦微血管網絡的重建,且影響了神經元突觸的結構以及神經修復相關蛋白的表達,削弱了NBP對神經功能的改善作用。結果表明血管內皮細胞中VIM基因敲低對新生血管形成和神經修復具有重要作用。

結果五:構建了特異性敲低神經元中的VIM的小鼠模型,研究發現特異性敲低神經元中的VIM未顯著影響新生血管形成,但對神經修復產生影響。研究顯示NBP通過靶向VIM,進而激活了在血管新生和神經發生中都起關鍵作用的Notch信號通路,從而協調促進卒中后的微血管重建與神經修復。

研究結果表明, NBP通過重塑微血管系統以促進神經修復,有效治療缺血性卒中。VIM被確定為NBP 的新靶點,這為探索VIM在神經血管耦合中的作用奠定了基礎。進一步機制研究顯示,NBP通過靶向VIM調控Notch信號通路,進而促進缺血性卒中后的血管新生與神經修復。
綜上所述,本研究首次明確了VIM是NBP發揮治療作用的關鍵分子靶點,闡釋了NBP通過靶向VIM調控Notch通路重構微血管促進神經修復的作用機制。該研究不僅填補了NBP特異性作用靶點的認知空白,也深化了對VIM在神經血管網絡中功能的科學理解,為缺血性腦卒中的治療提供了新的理論依據和潛在干預策略。
參考文獻:Xiao, Haiyan et al. “Butylphthalide enhances neurorestoration following ischemic stroke by restructuring microvasculature through vimentin modulation.” Journal of advanced research, S2090-1232(25)00964-6. 7 Dec. 2025, doi:10.1016/j.jare.2025.11.068
【聲明】
1、本新聞旨在分享研究進展信息,非廣告用途;2、本資料僅供醫藥專業人士參考,非產品推薦依據,也不應被視為診療建議。






